Advanced Alternative Healthcare for Chronic Illness. Changing Lives, Not Just Bodies.
Friday, April 17, 2015
Get Off the See-Saw of the Body
Pushing a Broken System
Have you ever felt like that as soon as your conventional doctor treats one problem a new problem pops up somewhere else? There is a reason for this predictable situation.
The reality is that every muscle, nerve, organ, gland, tooth, and indeed even your genes are now recognized to be analogous to the electrical circuits of your house. Every tissue that can be named, is completely interconnected and interdependent. The entire body is set up on somewhat dedicated circuits, much like your house, which has a circuit breaker box with many circuits.
When your conventional doctor gives you a medicine or even a natural remedy to treat a problem, the doctor is most often trying to target a specific issue going on in your body. If the doctor thinks your problem is coming from a bacterial infection then he will likely give you an antibiotic. This antibiotic is not a normal substance that would ever be naturally introduced through our diet so the body is forced to react to the medicine as a foreign substance, an irritant. Of course the antibiotic may do what the doctor wanted it to do, kill bacteria, however the rest of the body sees the antibiotic as an irritant and various systems and tissues are aggravated and new symptoms appear in various locations in your body or mind.
It must be understood, especially in chronic illness that came on gradually, even though the body as a whole is sick, there is a balance within the body. Even without treatment the body is doing the best it can to maintain its equilibrium in spite of the many things that are going wrong. You might want to think of the many systems and tissues of the body as being like a children's see-saw. When one side of the see-saw is pushed down, the other side is shoved up.
So, even when a medicine is very targeted, such as in a heart medication, the medication pushes the symptom down, and at the other end of that circuit in the body the already stressed tissue on that heart circuit is shoved up and a new symptom appears.
That is the beauty of Biological Medicine and truly the secret to our huge success with many people who had tried everything to get well. Doctors who are trained in the healing philosophies of Biological Medicine understand how the entire body fits together and how, by the end of every office visit, to get every circuit in the body up and running correctly.
When a circuit in the body "blows" then the energy supplying all the tissues on that circuit is reduced to 40% of what it should be. Most chronically ill people have every circuit blown, so profound chronic muscular fatigue and depression of mental and emotion power is very much to be expected.
Dramatic restorations of health can often be achieved by simply turning on the circuits of your body. It should make sense that in order to give your body the best chance of healing, and the best ability to use the remedies, vitamins, and supplements correctly, the circuits must be turned on. Your body must do the work. The remedies are just the substances your body needs in order to do the work of healing.
Without the benefit of all the various ways our doctors can test your specific body there is absolutely no way to guess your way to turning on all the circuits of the body. Unfortunately there is no one remedy, no collection of remedies, no matter how fabulous the research on the medicine or protocol that will turn on all of your circuits correctly without you being specifically and dynamically tested. That does not mean that you can't or will not feel better unless you get tested in these ways. It simply means that to truly enable your body to heal itself and function at its peak performance, every circuit must be up and running correctly.
The reality is that even the most super-performing athletes do not have every body circuit turned on correctly. The body is designed to perform beautifully even when there are many things going on that are less than ideal. Being symptom free, while definitely desirable, is no guarantee of true health.
You cannot go to a doctor who specializes in one aspect of the body and expect true health to magically occur. Your symptoms are not from infections, but are from how the infections affect the tissues. Simply treating the infections will not always work since the damaged circuits, that were creating the symptoms, don't always have the ability to turn back on by themselves.
This is a big reason that the doctors at the Hansa Center enjoy as much success with even the most stubborn types of conditions. Restore what is most optimum and the symptoms fall away. The limiting factors are the many things people and their doctors do to their body that creates essentially irreversible damage to the tissues. Every medication has the potential to scar the internal tissues of the body. Thankfully we have techniques that can still turn on the circuits, often even when the internal tissues have been scarred. So even though you might never get every symptom to go away, you can at least have the best function you can get from your body.
For over 20 years the Hansa Center for Optimum Health, in Wichita, Kansas has specialized in the restoration of health for people with previously unresponsive and chronic illnesses of virtually all types. Over 85% of people come from other states and countries. If you have done everything you and your doctor know to do and are still struggling, contact our wonderful Patient Care Coordinator, Kara, at patientcare@hansacenter.com, for information on the exciting new treatments we have developed at the Hansa Center for Optimum Health. For additional info, visit our website at www.HansaCenter.com.
This article is for educational purposes. Before implementing any supplements/remedies always consult with your healthcare professional. Due to the complexity of the human condition there remains the possibility of symptoms getting worse. Again, discuss this protocol with your health care professional before beginning, and stop or get support if your condition worsens. This protocol is not intended to treat, cure, diagnose, or mitigate any disease or illness, and has not been evaluated by the FDA. Share
Friday, January 30, 2015
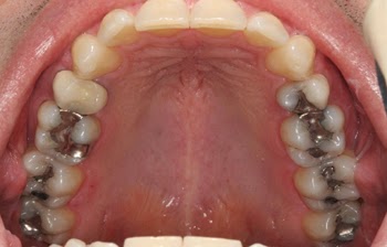
If You Have Even One of These in Your Mouth You Are in Danger!
A major victory for the health of hundreds of millions of people is truly happening! After poisoning the world population, and creating much of the autoimmune, neuro-degenerative, and autonomic illnesses, the use and promotion of mercury-based dental amalgams is being eliminated from dental practice by governments worldwide!
Why is this happening? Is there a shortage of mercury causing it to be outlawed? NO! It is finally being acknowledged as extremely bad for you to have even one of these old silver amalgam fillings in your mouth.
If you have any silver amalgam fillings in your teeth you need to seriously consider getting it removed. These amalgams are toxic and have been linked to over a hundred different illnesses.
I compare this issue to the cigarette industry coverup; they knew that their cigarettes were creating health problems and hid the research. I think the ADA should be handled in the exact same manner as the cigarette industry...taken to court, and made to pay billions for the damage they knowingly inflicted upon society by ignoring and suppressing all the research that has overwhelmingly demonstrated the many problems caused by using mercury amalgams.
The ADA went as far as threatening dentist's licenses for removing mercury fillings for any reason other than for cosmetic reasons. Biological dentists and other more naturally-inclined dentists could not remove them for health and disease treatment or for disease prevention.
Read the following links for more coverage on this important issue: http://bit.ly/1v9YVZt and http://bit.ly/1CPRGXw.
"Currently dental amalgam fillings contain around 48 to 51 percent mercury by weight. Copper comes in second with the high copper amalgam now leading the markets. Copper can be from 24 to 33 percent of the amalgam. The higher the copper level, the faster the mercury and copper - both are emitted from the fillings. If a gold crown is anywhere in the mouth, mercury comes off faster. According to university studies done by Dr. Chew, over the first two years after placement, amalgams release about 34 micrograms of mercury per filling (per square centimeter of filling exposed) per day. These tests were done of silver-mercury fillings sitting in water and tested daily." - H. Huggins, DDS, The Real Story on Amalgams
If you are thinking about getting your old silver (mercury) amalgams removed and replaced with composite fillings, please be aware that there are things you need to do before, during, and after removal to insure that your body is correctly supported. You might think you are sick now, and getting the amalgam fillings and other metal retainers out will help you heal, but if done incorrectly you could go from the proverbial frying pan right into the fire!
Mercury from amalgams and other environmental, vaccine, and dietary sources is much more toxic than lead or even arsenic! (Sam, Ziff & Michael F. Ziff, D.D.S. Dentistry Without Mercury. Orlando: Bio-Probe, Inc. 2001. Pg. 11.) So even with the most careful removal of the dental metals from your teeth, it could stir up metals all over your body to relocate to new areas and cause even more damage. Remember, we call these metals toxins because they damage tissue. These are not just irritants that once removed will cause the body to instantly start working correctly. The tissues that have been damaged by the heavy metals will need support in order for the body to be able to repair the damaged tissues and restore optimum function.
Simply getting the amalgams drilled out of your teeth can liberate huge amounts of toxic heavy metals into your body. If the procedure is done poorly by the dentist, then it could even shut down your kidneys, which would result in needing dialysis for the rest of your life! (Biological dentists have extensive training and specialized equipment to safely remove these old amalgams. Find a Biological Dentist at: iabdm.org)
Over the last twenty years I have trained and worked side by side with renowned biological dentists to develop pre- and post- amalgam removal support protocols.* There are many considerations that must be taken into account to enable the liberation of the heavy metals that are inadvertently released by the amalgam removal, as well as the heavy metals that have lodged in various tissues in the body.
The following is a good pre- and post- amalgam removal protocol.* For your convenience the six primary products in the protocol are being put on our website at a reduced package price. These products should last at least one month depending on the amounts you are taking of each product.
- BCI® (Beyond Cellular Impurities)
- Homeopathic Dental Materials®
- NeuroAntitox Basic Formula®
- King Chlorella®
- Probiotic Formula®
- TPP-Protease®
How to Implement this Pre and Post Amalgam Removal Protocol
It is recommended that you begin the process of building up your organs of elimination (liver, kidneys, lungs, and skin) by beginning this protocol at least 4 weeks prior to amalgam removal and continue the protocol for three months after the last of the amalgams have been removed. Your biological dentist may want to remove the biggest and worst amalgams first and then the others on subsequent visits. Even if your dentist takes precautions to keep more metals from entering your system, you will need to still detoxify, using this or some other protocol. The dislodging and stirring up of the metals that have leached out of the fillings over the years are now released from where they have been electromagnetically held in the tissues.
1. BCI® (Beyond Cellular Impurities) - This product contains all of the documented natural, yet powerful heavy metal chelating substances. To chelate essentially means to take something that will grab onto and pull out heavy metals from the tissues and from your blood so that they can be excreted. (oral chelation explained) BCI supports the entire body, but mainly the primary organs of elimination...the liver, kidneys, lungs, and skin. If you were to try to buy a bottle of every nutrient required to address everything needed to safely and efficiently chelate out heavy metals, support the tissues, and kill microbes like candida, parasites, and mold, that like to bind up heavy metals and hold them in your body, it would likely cost you several hundred dollars. This product is a packet of several capsules and tablets that contains everything you need in one convenient product for supporting all the organs of elimination and chelating heavy metals out of the body. Each container of BCI contains 30 packets and will last one month, since you will be taking one packet per day with a meal. One packet of BCI includes:
- Binding Cellular Impurities - Binding Cellular Impurities has the same vital ingredients as the BC-I, including Vitamin K-2, Resveratrol, and the purest available Omega 3 oils, EDTA and more. This formula provides the finest multi-vitamin/mineral available.
- Beyond Any Multiple - This new formula takes the proven product Beyond Longevity and improves it with many exciting nutrient changes. These include the addition of resveratrol and for the first time in any multiple anywhere, an all natural Vitamin K-2. At $10,000 per kilogram for Vitamin K-2, no other multiple has ever added this vital ingredient to protect bones and help prevent hardening of the arteries. This provides all the necessary minerals needed to assist the body in detoxifying and creating the environment for optimum health. "Mineral deficiency provides the opportunity for toxic metals to attach themselves to vacant binding sites. A healthy mineral base is a prerequisite for all metal detox attempts (selenium, zinc, manganese, germanium, molybdenum etc.). Substituting minerals can detoxify the body by itself." - Klinghardt, D
- Essential Daily Defense - No other garlic-based product comes close to the powerful, synergistic combination of this unique formula.
- Omega-3 Softgel - The American Heart Association reports that Omega-3 fatty acids reduce heart disease, high blood pressure, stroke, and sudden death! Omega-3 may also promote healthy cholesterol and triglyceride levels, normal heart rhythm, healthy brain and memory function, easy joint movement.
- Ginkgo Biloba - Ginkgo is believed to have a regulating effect on the entire vascular system of veins, arteries and capillaries. Ginkgo promotes blood flow in the brain by working with the body to improve the use of oxygen and glucose, enhancing mental performance.
- Primrose Oil is especially popular with women and active people seeking nutritional support for their personal health requirements. These essential fatty acids are necessary components of all body cells, but not found in commonly consumed foods.
3. NeuroAntitox Basic Formula® - Anytime toxins are being addressed the best way to avoid getting new symptoms is to neutralize the toxic effects of the substances right where they are, instead of dragging toxic substances through the tissues, causing damage all the way as they are moved through the body for elimination. I developed this formula to specifically enable people to dramatically reduce the symptoms that are often associated with heavy metal detoxification and eliminating microbial die-off toxins, which often also contain heavy metals. This product is one of the few products that research has shown will enable the body to eliminate toxins locked up in the brain. A good start would be to take 1 dropper in purified water 2-3 times a day and work your way up to 3 droppers, 3 times a day to support the body.
4. King Chlorella® - Not all chlorella products are created equal. Some varieties are extremely difficult for people to digest and therefore cause more problems than they fix. King Chlorella is the best form of broken-wall chlorella, and is therefore one of the easiest to digest and one of the most biologically active of the various chlorella products, at a reasonable price. Chlorella has a mucopolysaccaride membrane and chlorophyl (the green in plants similar to hemoglobin) that enables it to "sweeten the intestines," and pull many different types of toxins out of the body. I recommend chewing 1-3 a day and working your way up to as many as 10-12 a day. If the taste makes it too difficult to chew then simply swallow them whole. It it not necessary to push yourself and suffer by taking too many too soon. Listen to your body. If you are struggling, then back off until you feel you can add more to your daily regimen. Chlorella can be as effective as the prescription Cholestyramine at pulling toxins out of the body.
5. Probiotic Formula® by Transformation Enzymes, Inc. - Probiotics are friendly bacteria that colonize the health human intestines. These friendly flora bacteria help eliminate or kill the Candida, fungi, and harmful bacteria that will often grab onto and hold the heavy metals, preventing the metals from being eliminated from your body. There are many different probiotic supplements on the market, but they are not all the same, even if the types of friendly bacteria listed on the label are identical. How the bacteria are produced, whether they can withstand an acidic or alkaline environment or both, any the actual ratio and number of the various bacteria are important as well. General recommendation it to take 1 capsule morning and evening.
6. TPP-Protease® by Transformation Enzymes, Inc.- This systemic enzyme is designed to help breakdown biofilms and fibrin, as well as reduce inflammation. A general recommended dose is to start with 2 capsules, 2 times a day on an empty stomach with an 8 oz. glass of water (Empty stomach = at least 45 minutes before eating, and at least an hour after eating, to insure that the protease enzyme is not used up just digesting the proteins from your meal.)
Supportive Therapies That You Can Do at Home
1. Drink a good whey protein powder supplement such as the great product, Goatein® by Garden of Life, Inc. Goatein is available in most health food stores. According to the world-renowned physician, Dr. Dietrich Klinghardt, MD, "Proteins provide the important precursors to the endogenous metal detox and shuttle agents, such as coeruloplasmin, metallothioneine, glutathione and others. The branched-chain amino acids in cow and goat whey have valuable independent detox effects. Metals attach themselves only in places that are programmed for attachment of metal ions. Just as important are electrolytes (sodium, potassium, calcium, magnesium), which help to transport toxic waste across the extracellular space towards the lymphatic and venous vessels."
- Goat milk is the closest to human mother's milk in nature making it superior to bovine whey protein or whey isolates. Goatein® is also unique for the following reasons:
- It is a unique protein powder made from goat's milk.
- Easy to digest - can be tolerated by many people who have difficulty digesting cow's milk .
- An excellent source of complete protein (13g per serving) that contains all eight essential amino acids - protein building blocks crucial to good health.
- Goatein® is an animal protein. Animal proteins are the only complete sources of protein. Vegetarian protein sources such as soy are typically missing one or more of the essential amino acids, even if their protein content is high.
- Goatein contains pure goat's milk from goats raised without antibiotics or growth hormones. Many commercial dairy protein powders are produced from animals given antibiotics and hormones.
- Many vegetable proteins are made from non-organic or genetically modified organisms and may contain chemical residues.
- Goatein is processed without excessive heat so all its elements remain in their natural forms. Other milk protein powders that claim to be minimally processed are in fact subject to invasive processing, including heating and drying at high temperatures.
- Protein molecules in goat's milk have a different structure than those in cow's milk. This allows certain people who cannot tolerate bovine milk to consume milk protein from goats.
- Goatein® goats are not fed pesticides, herbicides, growth hormones, or antibiotics.
3. Skin Brushing - (skin brushes can be purchased from the Hansa Center store by calling 316-686-5900 ext 2) Click on the blue hyperlink to read how to do this properly and why dry skin brushing is important.
4. Strengthening/Nutritive Bath - Any form of detoxification is hard work for the body. For this reason many people feel fatigued while detoxing. It is important to take one day a week off from doing any supplements or detoxification therapies. On this day of allowing the body to rest, it is a good idea to do a Strengthening/Nutritive Bath. This bath allows the energetic and nutritive aspects of the bath ingredients to bypass the digestive tract, which would be taxed even more having to deal with the bath ingredients. If possible, do this bath after doing the Dry Skin Brushing protocol so that you knock off a lot of the dead skin and soap/oil residue that would otherwise block the absorption of the beneficial aspects of this bath. The Dry Skin Brushing will also stimulate the circulation of the lymphatic fluid and blood to pick up and distribute the healing, strengthening nutrients of the bath. This bath is a good "pick-me-up" for anytime you feel overloaded and stressed out.
5. Infrared Sauna - The skin is the largest organ of elimination of toxins. Your skin should be eliminating 2.5 pounds of waste acids and toxins per DAY! Talk about a healthy weight loss program! Most people have clogged up their skin with soap, shampoo, lotions, oils, and powders. (The best and safest broad-specrum infrared sauna ) Avoid saunas that are made with plastics, glue, heavily scented wood types, such as cedar, hemlock, or pine, and those that generate high EMF pollution. If you cannot afford to purchase one of these saunas then please call your local gyms, health clubs, or natural doctors to see about getting access to using this important step in detoxifying your body. I have also heard several of our patients pooled their money with other people in their area to collectively buy one they could all use.
*If you are pregnant, breastfeeding a child do not undergo any form of detoxification, since the heavy metals and toxins will end up in your baby! If you are excessively sick, weak, or emaciated, then do not start any form of detoxification before discussing it with your health care professional! The products recommended in this protocol are all well tolerated by reasonably healthy individuals, however it is a good idea to discuss this protocol with your natural health care doctor before starting no matter what your health condition, to strategize when you should implement this protocol if you are already taking supplements for another purpose. It may be that your doctor will want you to wait until the protocol you are already on is completed before beginning this protocol, since there is the possibility that the products of this protocol will interfere either with the products you are already taking, or will be too much for your body to handle both protocols at the same time. Although this protocol seeks to eliminate or minimize any worsening of health problems as a result of the detoxification process, due to the complexity of the human condition there remains the possibility of symptoms getting worse. Again, discuss this protocol with your health care professional before beginning, and stop or get support if your condition worsens. This protocol is not intended to treat, cure, diagnose, or mitigate any disease or illness, and has not been evaluated by the FDA.
This article is for educational purposes. Before implementing any supplements/remedies always consult with your healthcare professional. Due to the complexity of the human condition there remains the possibility of symptoms getting worse. Again, discuss the ideas presented here with your health care professional before beginning, and stop, or get support, if your condition worsens. This information is not intended to treat, cure, diagnose, or mitigate any disease or illness, and has not been evaluated by the FDA. The Hansa Center does not treat named diseases, but seeks to restore the body's optimum structural and functional integrity so that the body can rapidly heal itself.
*Due to the exhaustive time spent per day with each patient, and poor repayment history of insurance companies, we unfortunately cannot accept insurance assignment. We do participate in Care Credit, and accept all major credit cards. We will gladly accept insurance when our elected officials revamp the health insurance industry to cover all results-based care. We encourage you to vote with this in mind. Please call 316-686-5900 ext. 1, for current pricing for our economically-priced, All-inclusive 2-3 weeks intensive packages of care. Share
Saturday, January 24, 2015
New Drug-free Help for People with POTS, Seizures, Strokes, Autism, Cognition, and Neurological Problems.
Research has determined that all living tissues, whether the body’s tissues or the molecular structure of microbes, are made up of these unique molecular liquid crystalline structures (1). These living, pliable, crystalline structures are capable of creating, transmitting and receiving laser-like bio-photons (energy packets of light, generated by the tissues of the body) to communicate between tissues and molecules (2). Indeed, light is being seen as the glue that holds everything together (3).
Restoring the optimum integrity of these biophotonic transmissions through the body's crystalline matrix using NPT has facilitated the body's ability to restore strength in the muscles of stroke victims, dramatically reduce or stop various types of seizures, correct chronic ligamentous laxity, improve cognition, restore speech in a case of autism, and so much more, often in one to five treatments (4).
The theory behind NeuroPhotonic Therapy™ is that photons of a specific frequency and wavelength would be registered as a specific color, such as red, by the classic visual mechanisms of the eye and brain, but some of the photons would travel through the body’s liquid crystalline matrix, much like light passing through fiber optic cables.
Every tissue in the body is indeed a part of an intricate web of interconnecting liquid crystalline pathways. We can send the photons into the body and use a monitoring system I developed called BioResonance Scanning (BRS) technique, a specialized technology I developed that appears to enable the doctor to monitor subtle frequency changes in the body, to rapidly identify any problems that the streams of photons may cause in the body (5-7).
If the photons reach all of their correct destinations without interference, then we will not detect any abnormal frequencies. If the photons are not able to flow undisturbed throughout one’s body, we will see local and global frequency disturbances on all levels of the organism (person). A doctor cannot correct what he does not know is broken. This challenge, aggravation, correction method enables the doctor to find issues that cannot be detected using any other method of testing.
To perform NeuroPhotonic Therapy, low to high-intensity photons of varying frequencies (colored light) are shined into the eyes using specialized light therapy goggles, with the intensity set to the comfort of the patient. Each of these wavelengths of colored light will almost always set off unique aggravations in the body, wherever there is a breakdown in the body's light pathways.
BioResonance Scanning™(BRS), along with other conventional testing, enables the rapid identification of corrective therapies, such as, Chiropractic adjustments, homeopathic sarcodes, essential oils, solfeggio acoustic tones, bioenergetic applications, and targeted low-level laser therapy frequencies, that would help realign the liquid crystalline pathways and rapidly open the congested pathway of light.
All of these are non-invasive, non-painful, non-toxic, and virtually non-allergenic therapies. The uniqueness of them is the frequency-matched, strategic application in the realtime response to the photonic challenges. So while a person may eat many anthocyanidin-loaded foods in their diet, without their body's crystalline-matrix and biophotonic coherence being dynamically tested and restored, these efforts will provide none of the therapeutic effects of NPT.
A fascinating finding is that while many modalities are necessary to align the pathways, each correction is made with a single application, the results of which were immediately obvious physically and virtually instantaneous. The corrections seem to largely maintain themselves to the degree that the person lives a healthy life. Like all treatments, and indeed all of life, everything changes in response to the challenges in the person's internal and external environment.
To support the movement of light through the body, we supplement with nano-particle silica and various anthocyanidins during the NPT session. Anthocyanidins are concentrated plant-based color pigments obtained from appropriately harvested and prepared fruits and vegetables. The body uses these pigments to correctly process and conduct light through the crystalline matrix (8).
It appears that the body uses light as a stimulatory nutrient. Light is the glue that holds all of the atomic particles and molecules together. The eyes are the primary photoreceptors and one of the most crystalline structures in the body, providing the most direct pathway for light to flow into the body’s organ circuits (9).
While the "theory" of the physiological aspects of NeuroPhotonic Therapy are as scientifically sound as possible, the actual clinical effect is very evident in the cases where real people were helped.
While the "theory" of the physiological aspects of NeuroPhotonic Therapy are as scientifically sound as possible, the actual clinical effect is very evident in the cases where real people were helped.
- J. L. Oschman, Energy Medicine; The Scientific Basis (Churchill Livingstone, New York, NY, 2000), pp. 128-131.
- Ho, The Rainbow and the Worm: The Physics of Organisms (World Scientific Publishing Co., River Edge, NJ 2003).
- T. Hiruma, Hamamatsu Photonics, http://www.hamamatsu.com/us/en/hamamatsu/vision.html
- D Jernigan, Illuminated Physiology and the Medical Uses of Light, http://journals.sfu.ca/seemj/index.php/seemj/article/view/59
- P. Callahan, Tuning Into Nature (Devin-Adair, Greenwich, CT, 1975).
- F. A. Popp, B. Ruth, W. Bahr et al., Emission of Visible and Ultraviolet Radiation by Active Biological Systems, Collective Phenomena 3 (1981), pp. 187-214.
- F. A. Popp, K. H. Li & Q. Gu, Recent Advances in Biophoton Research (World Scientific, Singapore, 1992).
- D. Jernigan, Eat Your Colors to Heal Your Body, http://bit.ly/1zGOVb1
- O. Wolff, Anthroposophical Approach to Medicine, Vol 1, (Anthroposophic Press, October 1, 1996)
Saturday, January 10, 2015
Shattered by illness! PTSD and CTSD in Lyme disease and Chronic Illness.
A person with CTSD does not have to look like the woman pictured with this article. They might look perfectly calm, cool, and collected. They might indeed have no overt emotional issues associated with their CTSD, yet the stress placed upon their body by the illness and the treatments is still causing predictable functional problems from adrenal fatigue that can drag the person down for years after the illness is resolved.
Share
At the Hansa Center for Optimum health, our doctors have treated tens of thousands of chronically ill people. I would say that the majority of the people had received their diagnosis elsewhere and their previous doctors had just pounded their body with antibiotics, in the case of Lyme disease, and hammered their body with various prescriptions, with little thought given to supporting the rest of the body, and definitely no thought of how these medicines act as a stressor to the body, and the illness itself is a physical and emotional stressor, and life issues while sick is a stressor...all of which drag down the primary stress-regulating glands of the body...the adrenal glands.
Just like what we are seeing with our returning wounded military soldiers, the fighting is over, the stressful war is behind them, yet their bodies and minds are ravaged by the effects of chronic stress.
In chronic illness, so much time and energy...and money...is spent in efforts to "kill the bugs" and to detoxify the body, chasing one symptom after another. One of the most important issues to address in people who have had prolonged infections is to rebuild and heal the tissues that have been damaged by these infections. Infections are often like having termites damaging the wood in your house. You can use toxic chemicals to kill the bugs, but even when successful, these toxic substances are now lodged in your house, and they do nothing to correct the wood damage the termites caused. Any stiff wind will damage your house further...you are more susceptible and sensitive to challenges.
Very often because a person had infections, such as the ones associated with Lyme disease, the person has many symptoms that have been increasing for years. The myth they were sold by their doctor and the Lyme disease community was that they would be well when every bacteria was killed. Like the termite analogy, often the assumption is that the body can heal itself after all the toxic drugs and die-off toxins. The reality is that almost every system of the body has been damaged by the illness and the treatments and killing the bugs and detoxifying the die-off are just half of the healing process for those who had the illness for years.
The adrenal glands are our stress-response regulating glands of the body. The adrenal glands sit atop both kidneys like melting scoops of ice cream. They motivate the rest of the body to prepare for battle against whatever perceived attack is present. You might say they are our body's security alarm system. The adrenal glands are one of the first glands to fatigue when a person is stuck in the "Fight or flight" mode of the sympathetic nervous system. Read more about the predictable symptoms of adrenal fatigue: Adrenal Symptoms
Every case of CTSD and PTSD has adrenal problems that must be addressed before the person can regain the functional integrity and optimum health they seek.
If you feel that you have internal vibration in your body, like you cannot get your hormones balanced, if you feel your are not the same even after your doctor proclaimed you "cured," if you have no energy, no motivation, no ability to deal with stressful situations, if you are suffering from sleeplessness at night and fatigue all day...ask your doctor to do a saliva cortisol and DHEA test at the least. My favorite lab for this testing is www.diagnostechs.com. The best is to do a 24 hour saliva cortisol test where you collect four saliva samples that day, and test also the DHEA level.
This is what your test result will look like with adrenal fatigue. The adrenal glands produce both DHEA and Cortisol. In this chart you can see that both are very low.
This saliva test is done at home and you would mail the test kit back to the lab with the provided box and mailing label. Below is what the test results would look like for someone suffering from adrenal fatigue, due to CTSD or PTSD.
The doctors at the Hansa Center have used this test for many years to help determine not just adrenal function, but we can add on other tests to your saliva collection that will show what is going on at the cellular level regarding all of the male and female hormones and even gluten, casein, soy, egg allergies.
You are your own best health advocate. If you doctor has not done this testing then ask him/her to order it for you. Your doctor cannot fix what they don't know is messed up!
For over 20 years the Hansa Center for Optimum Health, in Wichita, Kansas has specialized in the restoration of health for people with previously unresponsive and chronic illnesses of virtually all types. Over 85% of people come from other states and countries. If you have done everything you and your doctor know to do and are still struggling, contact our wonderful Patient Care Coordinator, Kara, at patientcare@hansacenter.com, for information on the exciting new treatments we have developed at the Hansa Center for Optimum Health. For additional info, visit our website at www.HansaCenter.com.
This article is for educational purposes. Before implementing any supplements/remedies always consult with your healthcare professional. Due to the complexity of the human condition there remains the possibility of symptoms getting worse. Again, discuss the ideas presented here with your health care professional before beginning, and stop, or get support, if your condition worsens. This information is not intended to treat, cure, diagnose, or mitigate any disease or illness, and has not been evaluated by the FDA. The Hansa Center does not treat named diseases, but seeks to restore the body's optimum structural and functional integrity so that the body can rapidly heal itself.
*Due to the exhaustive time spent per day with each patient, and poor repayment history of insurance companies, we unfortunately cannot accept insurance assignment. We do participate in Care Credit, and accept all major credit cards. We will gladly accept insurance when our elected officials revamp the health insurance industry to cover all results-based care. We encourage you to vote with this in mind. Please call 316-686-5900 ext. 1, for current pricing for our economically-priced, All-inclusive 2-3 weeks intensive packages of care.
For over 20 years the Hansa Center for Optimum Health, in Wichita, Kansas has specialized in the restoration of health for people with previously unresponsive and chronic illnesses of virtually all types. Over 85% of people come from other states and countries. If you have done everything you and your doctor know to do and are still struggling, contact our wonderful Patient Care Coordinator, Kara, at patientcare@hansacenter.com, for information on the exciting new treatments we have developed at the Hansa Center for Optimum Health. For additional info, visit our website at www.HansaCenter.com.
This article is for educational purposes. Before implementing any supplements/remedies always consult with your healthcare professional. Due to the complexity of the human condition there remains the possibility of symptoms getting worse. Again, discuss the ideas presented here with your health care professional before beginning, and stop, or get support, if your condition worsens. This information is not intended to treat, cure, diagnose, or mitigate any disease or illness, and has not been evaluated by the FDA. The Hansa Center does not treat named diseases, but seeks to restore the body's optimum structural and functional integrity so that the body can rapidly heal itself.
*Due to the exhaustive time spent per day with each patient, and poor repayment history of insurance companies, we unfortunately cannot accept insurance assignment. We do participate in Care Credit, and accept all major credit cards. We will gladly accept insurance when our elected officials revamp the health insurance industry to cover all results-based care. We encourage you to vote with this in mind. Please call 316-686-5900 ext. 1, for current pricing for our economically-priced, All-inclusive 2-3 weeks intensive packages of care.
Wednesday, January 7, 2015
Are you being betrayed by your medications?
A golden rule of pharmacology is that whatever symptom a drug will suppress...it will definitely also cause eventually!
Watch the TV commericials when at the end they list the primary "side effects" which are not really side-effects at all, but are the long-term effects of the drug... Prozac, an antidepressant, "...may cause depression, severe depression, and suicidal tendencies." Ambien, a sleep drug, "...may cause profound insomnia." If you look at the listed side-effects for any medication you can find out all the things a drug will definitely affect when you take it.
God forbid, a person has drug-induced symptoms that match their original symptoms and then their doctor switches the medication with one that will also ultimately create it's own version of the symptoms on top of the previous medication's symptoms!
God forbid, a person has drug-induced symptoms that match their original symptoms and then their doctor switches the medication with one that will also ultimately create it's own version of the symptoms on top of the previous medication's symptoms!
I think many people view side-effects like Russian Roulette. They think there is the primary thing a drug does, and then there is the possibility that other unwanted things, "side-effects," may happen if you are unlucky. The reality is that the side-effects are just the effects of the drug. Yes some people's body will fight the effects better than others, but the entire body is definitely being challenged by the drug.
Every medication whether pharmaceutical or natural has many definite actions on the body. It is the marketing people who determine what the biggest market is for the medication. This strategic marketing is seen in the natural product industry as well. A good example of this is St. John's Wort. This botanical medicine was heavily marketed for its effects as a natural anti-depressant. It is unfortunate that this wonderful herb has been pigeon-holed into being used only as an anti-depressant, since it is a fantastic anti-viral remedy and is good for nerve damage, and as positive effects on almost every system of the body.
My point is that in pharmaceutical and natural medicine, every medication has many actions on the body aside to the one it is being marketed for, and those actions will be very similar to the eventual symptoms that show up if you take the medicine too long. How long is too long? It could be the same day you took the medication or anytime after that day, it just depends upon your body, and life situation.
In homeopathic research, the way to determine what a new remedy will treat in sick people is to give repeated doses to completely healthy people until the remedy induces problems. This is called "Proving the remedy."
The researchers will document the various symptoms that show up in the healthy individuals and the resulting list is what that remedy will treat in a sick person. There are volumes of this type homeopathic research, filling thousands of pages in thick books called Homeopathic Materia Medica.
So even the best selected remedies/medicines should not be taken forever. When taking a remedy or medicine there is a point where it has done what it can do to help your body. At that point you should get off the remedy (hard for the average person to know when that point is reached), otherwise you go through the cure and out the other side, and the remedy begins to cause the same symptoms it was originally addressing.
If your doctor tells you that you need to take a medicine and it works for you at first, but then you start having the same symptoms and even more types of symptoms, it is likely time for a new remedy/medicine! These effects can often persist decades after having stopped the medication!
Doctors that practice using the diagnostic and treatment philosophies of Biological Medicine are trained to test medications to determine if they are useful or are actually harming your body. It is very fascinating to get tested and immediately see all of the different organs, glands, and tissues of the body that are being aggravated by a medication, and then when given the tautopathic antidote, it is wonderful to see symptoms often disappear.
For over 20 years the Hansa Center for Optimum Health, in Wichita, Kansas has specialized in the restoration of health for people with previously unresponsive and chronic illnesses of virtually all types. Over 85% of people come from other states and countries. If you have done everything you and your doctor know to do and are still struggling, contact our wonderful Patient Care Coordinator, Kara, at patientcare@hansacenter.com, for information on the exciting new treatments we have developed at the Hansa Center for Optimum Health. For additional info, visit our website at www.HansaCenter.com.
Share
For over 20 years the Hansa Center for Optimum Health, in Wichita, Kansas has specialized in the restoration of health for people with previously unresponsive and chronic illnesses of virtually all types. Over 85% of people come from other states and countries. If you have done everything you and your doctor know to do and are still struggling, contact our wonderful Patient Care Coordinator, Kara, at patientcare@hansacenter.com, for information on the exciting new treatments we have developed at the Hansa Center for Optimum Health. For additional info, visit our website at www.HansaCenter.com.
Monday, January 5, 2015
You will often remain sick unless this problem is corrected.
I am going to show you how most of your symptoms are very predictable and how they are all connected to each other. This is a long post, however if you want to finally get well from whatever diagnosis you have been given you should read all of this post.
Imagine you are on a safari. It is a pitch black night outside and you are in a tent in Africa. A lion roars nearby and you are thinking about how flimsy the fabric is to keep that lion from coming in and eating you! Your sympathetic nervous system kicks into high gear! This is the "fight or flight" mode of your Autonomic Nervous System (ANS).
Your sympathetic nervous system is a built -in, automatic (autonomic) mechanism that increases your ability to survive, by either vigorously fighting the lion, or running away to fight another day! It is very predictable what your sympathetic nervous system will do in this stressful situation with the lion. All of your senses will go on maximum alert. The pupils in your eyes will dilate widely in order to see the slightest indication of the lion. Your ears will strain, to hear the slightest noise. Your muscles will ripple and tremble with tension as huge amounts of energy have been diverted to the muscles so that you have super-human reflexes and strength!
In the super stimulation of the sympathetic nervous response to the roaring lion, your bladder can empty without warning, in order for you to flee or fight unimpeded by a full bladder. It is a quick thing to urinate, something you could possibly do even while running or fighting, however a bowel movement takes too long. In the time it takes to have a BM the lion could pounce and you would be defenseless! So your sympathetic nervous system causes the colon to shutdown.
The meal you ate sits like a brick in your stomach. The sympathetic nervous system shut down digestion, diverting the energy to the muscles. After all, what is more important, digesting or fighting and/or running away from a hungry, man-eating lion?
Blood rushes to the head and the heart begins to increase its energy, beating hard and fast, to get ready for the upcoming fight or flight. The adrenal glands secrete cortisol to open up the cells to receiving more blood sugar and thyroid hormones, as adrenaline supercharges the entire body. The lion roars again, closer this time. The sympathetic nervous system causes the thyroid to crank out more T3 and brings more of its reserve T4 online to be converted to T3 as needed in order to increase overall cellular receptivity to blood glucose.
The skin tightens and every hair stands on end like little antennae, sensing the slightest change in the breeze. Every aspect of the body is on high alert. Your body is maximally sensitive to any change in its environment. You are jumpy and vigilant for any threat.
The night turns to day, you dare not leave your tent, since you can still hear the lion pacing...at least you think it’s still the lion...dare you stick your head out of the tent to check and see? No, it is too scary a thought, being eaten alive. So you stay in your tent, as still as possible, every sense still poised to address any sign of the lion tearing through the tent...
Get the picture? This story is what many of you are going through because your autonomic nervous system views the situations of prolonged stress in your life, such as chronic illness, work, or abusive people, just like the analogy of the roaring lion!
Now imagine what would happen if you never left the tent, or the perception of danger from infections or situations continued for months and years, and your sympathetic nervous system never relaxed?
All the same things we saw with the lion would be happening all the time. Your heart rate would stay too fast, and due to everything else going wrong in your body your heart might start skipping beats and palpitating. Your food never would seem to digest, and you would start seeing undigested food in your bowel movement. Your bladder would constantly feel like you need to go, so your mineral/electrolyte balance would be messed up, making your energy and brain clarity impossible to maintain.
Your colon would be constipated. Your muscles would be tight and painful from all the strain. You would suffer from light and sound sensitivity. You would become more sensitive to electromagnetic pollution and to other people's energy.
Your thyroid would begin to strain under the constant work and would weaken or start to have too much T3, and Reverse T3 would start to elevate to keep you from having too much thyroid hormone stimulation.
There would be too much cortisol and adrenaline so your anxiety and panic would be through the roof, for what seems to be no reason.
The cells of the body would become insensitive to the hormones and glucose, since you are just sitting there idle in the tent of your illness not really doing anything but waiting for the lion (illness) to go away.
Sleep would be impossible since you are too stimulated and overwhelmed, and never feel safe. You feel a little safer during the daytime, so you sleep all day.
The mind races thinking of all of the possibilities. Round and round your mind goes. You cannot turn it off now...it is stuck in a biochemical loop.
Do you see that all of these symptoms are connected? Every system of the body is affected so there are potentially dozens of symptoms. The symptoms are just as predictable as what goes on when a lion is outside of your tent!
Unfortunately, mainstream medicine is geared to treat the symptoms only and so they throw pharmaceutical drugs into this mess. They will give you symptom-treating drugs that unclog your constipation. Purple pill to stop the indigestion. Beta blockers for the heart. Anti-anxiety meds to calm you. Antidepressants to help with everything, since obviously you come across to them as being very depressed. Muscle relaxants are given to ease the tight, painful muscles, and tranquilizers to sedate you to sleep. You are given Synthroid to supposedly treat the low thyroid hormones. Blood sugar regulators to force the glucose out of the bloodstream.
Your body becomes more dysfunctional and toxic from all the drugs and disease. None of these pharmaceuticals are treating the functional causes. Almost 100% of pharmaceuticals are treating only the symptoms. Yes, your thyroid is fatigued and you are low in T3, but taking Synthroid or other thyroid hormone supplements are not treating the cause. And yes, you likely feel better with these pharmaceuticals than without them, but their effectiveness will only be short term, since the illness, the cause, remains untreated and continues to get worse.
As the saying goes, "The worse it gets, the worse it gets. The better it gets the better it gets." It is never, "The worse the cause of a problem gets the better it gets." Nor is it, "The better it gets the worse it gets!" If through proper treatment the dysfunctions can be nudged toward actually working better, then it gets progressively better.
This is where 90% if not more of the chronically ill crowd is living. The lion is the illness, by whatever name. The Autonomic Nervous System is an automatic mechanism that gets triggered by stress of any type. Structural stress, biochemical stress, mental/emotional stress, and/or environmental/bioenergetic stress.
Any stress puts stress on every aspect of the body, mind, and spirit. One cannot pluck one strand of a spider web without vibrating the entire web. The body, mind, and spirit are an intertwined web. Break a thread and the shape of the entire web changes.
True healing necessarily will ALWAYS need to repair the broken threads of the Autonomic Nervous System and calm the Sympathetic nervous system before lasting health can be restored.
This is what Post-Traumatic Stress disorder is all about, whether the stress was from horrific war, such as with "Wounded Warriors", or the stress of profound illness and the life changes it causes.
People we have seen at the Hansa Center for Optimum Health, who have suffered for months and years with chronic infections, such as Lyme disease, mold/fungal infections, viral, pain syndrome, and other chronic illnesses, have PTSD, or a chronic stress disorder. They do have all of the conditions discussed in this article, even if the bacteria have been corrected through the heroic efforts of great doctors, effectively treating the infections.
The idea that the illness is just the microbes is misguided. It is a myth that you will be well, symptom-free, as soon as your doctor can finally figure out how to kill every single bacteria and pathological microbe. Helping the body kill the microbes through whatever method is fine, but with today's mutated, and exotic strains of bacteria, unless you can restore optimum function and integrity to the Autonomic Nervous System (ANS) and convince it that there is no "lion" about to eat you, your body will continue wearing itself down, making you vulnerable to more infections and more dysfunction.
Nothing in my experience can more effectively repair the ANS and calm the sympathetic nervous system than the combination of healing philosophy of American Biological Medicine as practiced at the Hansa Center. No other healing philosophy is better designed and equipped to address everything that has gone wrong in the body, mind, and spirit all at the same time. Doctors specializing in the treatment philosophies of American Biological Medicine specialize in diagnosing and treating every tissue in the human body, and every system of the body, using the most advanced applications of natural medicine.
The goal is to respect the wisdom of the body. To determine what the body is striving to accomplish, and work to facilitate the body's ability to accomplish what it needs in order to heal, instead of forcing the body into drug-induced illusions of health.
If you have to take a drug forever in order to feel somewhat normal, then it is not fixing anything. If you are treating the cause, then the cause should eventually go away and you can stop taking the medicine. The conventional doctors convinced you that no one knows the cause and therefore you should just be happy that the drugs can mask the symptoms. If your body is too messed up, if organs and glands have been surgically removed, diseased beyond repair, or otherwise destroyed, then yes, take the symptom-masking drugs, however just because your lab tests are consistently bad, or your doctor is from the top medical school, or goes to the top conferences, or follows the top protocols in conventional medicine, it doesn't mean that their drugs are the best way in the long run.
If it is possible to restore optimum function, to treat the whole person at the levels of cause, to treat to get every system to work harmoniously together, great health can be finally realized...the lion will often rapidly evaporate into thin air!
It is difficult to find doctors who follow the treatment philosophies of American Biological Medicine. Of course, I feel that the doctors at the Hansa Center for Optimum Health are fantastic, and the best in the world at what we do, however in the spirit of cooperation instead of competition, you can go to these links to find more great clinics that implement various aspects of this powerful way of healing: marioninstitute.org and International Academy of Biological Dentistry and Medicine
For over 20 years the Hansa Center for Optimum Health, in Wichita, Kansas has specialized in the restoration of health for people with previously unresponsive and chronic illnesses of virtually all types. Over 85% of people come from other states and countries. If you have done everything you and your doctor know to do and are still struggling, contact our wonderful Patient Care Coordinator, Kara, at patientcare@hansacenter.com, for information on the exciting new treatments we have developed at the Hansa Center for Optimum Health. For additional info, visit our website at www.HansaCenter.com.
This article is for educational purposes. Before implementing any supplements/remedies always consult with your healthcare professional. Due to the complexity of the human condition there remains the possibility of symptoms getting worse. Again, discuss this protocol with your health care professional before beginning, and stop or get support if your condition worsens. This protocol is not intended to treat, cure, diagnose, or mitigate any disease or illness, and has not been evaluated by the FDA.
Share
This article is for educational purposes. Before implementing any supplements/remedies always consult with your healthcare professional. Due to the complexity of the human condition there remains the possibility of symptoms getting worse. Again, discuss this protocol with your health care professional before beginning, and stop or get support if your condition worsens. This protocol is not intended to treat, cure, diagnose, or mitigate any disease or illness, and has not been evaluated by the FDA.
Tuesday, December 23, 2014
Being Sick for Christmas
It is almost Christmas. Families and friends are getting together the world over to celebrate the birth of our Lord and Savior, Christ Jesus. Getting together with friends and family holds the potential of opening up old wounds and unforgiveness from Christmas-past.
Resentment is a form of unforgiveness.
Most people reading this are sick with long standing illness. All they want for Christmas is health, and at the very least to be loved and shown compassion. Many were desperately hoping to be healthier for this Christmas so that they would not need to pretend to be feeling good so that others who may or may not understand would not get upset. The stage is set potentially for hurt feelings and renewed resentment.
To the rest of the world, it is a season for giving. In an ideal world it is also a season of forgiving.
You cannot be your best self when you live with resentment of the illness, resentment of the detour that your life has taken, resentment of the perception that other people have undeserved health that they take for granted, resentment that you are once again stuck in bed in your room while everyone else has fun, and unforgiveness for the past offenses of the friends and family you are about to meet with this Christmas.
Unforgiveness and resentment is indeed like you drinking poison, yet expecting the other person to suffer! The only problem is that you are the one who is suffering, in body, mind, and spirit. The reality is you are letting that person's offense still affect you...you might see it as if messing with your was their goal then they are still winning!
The reality is that as much as we all would like people to act a certain way, to accept and nurture our feelings and situation, it really is not how other people need to change that determines if we are going to be stable and happy. In the same way that we know that no one can make us happy, no one can make us sad or anything else!
If we view our interactions with the more challenging people in our world as competition, when they are ugly or insensitive, you get to win the competition by holding your happiness regardless of what they do! Nothing thwarts a negatively person like someone who is unaffected by their ugliness.
Not only that but if you allow, and yes there is a moment when you allow yourself to get upset, your cellular biochemistry is cranking out the biochemicals that aggravate all of your symptoms, as well as promoting a condition where the bacteria thrive and the neurotoxins turn your body into a toxic waste dump.
This Christmas season remember, it is not how others need to change in order for us to be happy! It is not how our illness must change in order for us to be happy this Christmas and every day.
Forgiveness is not a process, it is a decision. Make the decision today, and inside every moment, to be the personification of love...to embody love...regardless of the actions and words of others, and regardless of the illness. You can be sick and be miserable, or you can be sick and love.
I am so sorry if you don't feel great this Christmas. Keep holding the faith that indeed this too shall pass! I am sending you a big hug and prayers for renewed health and that you be surrounded only with love and compassion!
Share
Subscribe to:
Posts (Atom)









